Tratamentos

CIRURGIA DE CORREÇÃO GENGIVAL

Gengivas saudáveis e bem alinhadas com os dentes promovem uma estética perfeita do sorriso.

Não basta somente ter os dentes bonitos, a gengiva é essencial na beleza do sorriso. Pacientes que possuem gengivas cobrindo os dentes causando a impressão de que são bem menores, estão indicados à realização da plástica gengival dos dentes.

CLAREAMENTO DENTAL

É a técnica que realiza o branqueamento dos dentes.

Pode ser realizada pelo paciente (técnica caseira), mas deve ter acompanhamento do profissional semanalmente. Porém, se o paciente necessita de agilidade, o ideal é o Clareamento de Consultório(laser), podendo ser realizado em duas ou três sessões dentro de uma única semana.

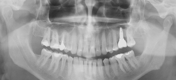
IMPLANTES

São parafusos de titânio que substituem dentes ausentes.

A implantodontia reabilita pacientes que, por algum motivo (cultural, financeiro ou por desmotivação), perderam seus dentes. Repõe dentes de pacientes que sofreram traumas ou que tem agenesias (ausência de dentes por motivos genéticos).
Este tratamento surgiu para substituir as próteses fixas e removíveis, as quais necessitam de desgastes dentários para serem realizadas.É um tratamento muito seguro e eficaz, tanto para substituir um ou todos os dentes, como nos casos de pacientes portadores de prótese total.

PERIODONTAL

É o tratamento das gengivas e tecidos que circundam os dentes.

Quando o paciente tem sangramento gengival, mau-hálito, dentes com mobilidade ou supuração na gengiva associada à grande quantidade de tártaro, são sinais e sintomas pelos quais é indicado o tratamento periodontal.
Este tratamento vai restabelecer a saúde do periodonto, evitar a perda de dentes e eliminar os riscos de o paciente adquirir uma endocardite bacteriana (doença no coração causada por bactéria que causa a doença periodontal).

ENDODONTIA (Tratamento de canal)

É a especialidade que trata de salvar e manter os dentes, através da remoção da polpa dental(nervo) infectado por cáries extensas, restaurações antigas e profundas, acidentes e fraturas.

A Clínica Sorriso dispõe de equipamentos modernos, como raio x digital, ultra som, localizador apical (instrumento preciso que localiza e limpa todo o espaço ocupado pela polpa dental). Além disso, com o sistema de instrumentação rotatória, o tratamento endodôntico pode ser realizado em uma única sessão. Toda essa tecnologia aliada à grande experiência faz uma grande diferença, reduzindo o tempo de tratamento e, sobretudo, reduzindo a reinfecção do canal, devolvendo ao paciente a saúde bucal como um todo.

ODONTOPEDIATRIA

A odontopediatria é o ramo da odontologia responsável por cuidar da saúde bucal das gestantes, bebês e crianças.

O acompanhamento odontológico da criança desde a formação da primeira dentição é fundamental para o desenvolvimento da oclusão ocorra saudável, com dentes alinhados e livres de problemas.

Quanto antes qualquer problema é diagnosticado, melhores são os prognósticos de tratamento. Na presença de algum desequilíbrio no desenvolvimento e alinhamento dos dentes, entra em cena a especialidade da ortopedia funcional dos maxilares.

CARGA IMEDIATA

É uma técnica que consiste na instalação dos implantes e colocação de prótese no mesmo momento ou em até 72 horas.

Atualmente esta técnica pode ser aplicada para casos unitários ( apenas 1 dente) ou para casos de múltiplos dentes ( prótese protocolo)

ORTODONTIA

A Ortodontia é a especialidade da Odontologia que diagnostica, acompanha, previne e trata os problemas relacionados ao crescimento, desenvolvimento e amadurecimento dos ossos da face, dos arcos dentários e da oclusão engrenagem dos dentes).

Esta especialidade que antigamente era indicada principalmente para os pacientes mais jovens, atualmente tem sua indicação muito mais ampla, tratando os pacientes adultos que querem se beneficiar dos resultados da ortodontia, como um sorriso mais alinhado e bonito, até aqueles que sofrem de alguma disfunção articular e os que precisam de tratamentos reabilitadores e estéticos.

ORTOPEDIA FUNCIONAL DOS MAXILARES(OFM)

É o tratamento que tem por objetivo, estimular, redirecionar ou alinhar o crescimento da face ou seja restabelecer uma relação harmônica entre os ossos da face e os dentes.

O tratamento realizado pelo especialista em Ortopedia Funcional inicia quando se faz a primeira consulta da criança independente da idade, quanto antes melhor, podendo ser educativo , estimulando as mães a amamentar seus filhos no peito, dando instruções sobre o uso de chupeta, mamadeira, dedo, etc. A criança é avaliada como um todo, observando as arcadas dentárias assim como as funções de mastigação, respiração, fala, deglutição e postura corpórea, pois estas, quando alteradas devem ser encaminhadas e tratadas por fisioterapeutas, fonoaudiólogos, médicos etc

Os aparelhos funcionais na OFM e como eles agem

Existem uma diversidade de aparelhos dentro dessa área para os diferentes tipos de maloclusões. Esses aparelhos atuam promovendo mudanças passivas nas estruturas óssea e muscular das arcadas, por meio de estímulos dos nervos sensoriais encontrados na região bucal, resultando em remodelação das estruturas do sistema estomatognático.

MANUTENÇÃO PREVENTIVA

É baseado nesta filosofia que a Clínica Sorriso garante a longevidade dos seus tratamentos.

Para alcançar este objetivo, o profissional ensina o paciente a fazer uma higienização bucal correta e eficaz, mostrando e explicando os males que a placa bacteriana causa à boca. Faz uma profilaxia (limpeza, remoção de tártaro) e radiografias, se necessárias.

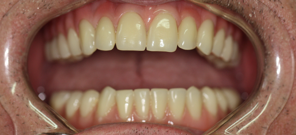
FACETAS E LENTES ODONTOLÓGICAS

São lâminas de porcelana que são aplicadas sobre a superfície dentária para recuperar forma, cor e textura de dentes amarelados, desalinhados e sem contorno estético.

As vantagens dessa técnica é proporcionar ao paciente tratamento mais rápido, quando comparado à outras técnicas. Além da beleza do material utilizado a superfície dentária sofre mínimos desgaste sem comprometer a saude dos dentes.

PRÓTESE DENTÁRIA

É a área da odontologia destinada a reposição e reconstrução de dentes naturais, perdidos ou danificados.

É através das próteses que devolvemos ao paciente a função mastigatória, fonética e a estética do sorriso, protegendo a articulação (A.T.M).

Tratamento para o ronco e apneias leves

O ronco é um problema social sério, atingindo cerca de 30% das pessoas, alterando a convivência com o cônjuge (é causa de muitas separações) ou com os amigos, geralmente tornando a pessoa que ronca alvo de brincadeiras.

É causado pela vibração dos tecidos da garganta, em função da turbulência do ar à medida que as vias aéreas se estreitam. Em muitos casos o ronco é sintoma de problemas mais graves como a Síndrome da Apnéia obstrutiva de sono. Nos casos em que os pacientes não tem apnéia grave, o tratamento consiste na colocação de um aparelho intrabucal que melhora a passagem do ar pelas vias áreas superiores e cessa a vibração dos tecidos da garganta

Bruxismo e apertamento dental

O bruxismo é o transtorno em que a pessoa aperta, desliza ou bate os dentes, principalmente durante o sono. Acontece de modo involuntário, ou seja, sem que a pessoa queira. Além de dores de cabeça e nos músculos da mastigação, o problema provoca também, desgaste dos dentes e problemas nas gengivas.

Já o apertamento dental ( bruxismo em vigília) consiste em manter os dentes pressionados involuntariamente enquanto trabalhos, praticamos esportes e em momentos que exigem foco e concentração, o tratamento consiste na utilização de placa de acrílico específica para o bruxismo – apertamento.

Laserterapia

A laserterapia consiste na aplicação de laser de baixa potência com a finalidade de modular a inflamação e estimular o reparo.

Cada vez mais usamos os lasers para tratar aftas, queilites , mucosites (causados pela quimioterapia) pós operatórios de cirurgias, tratamento de canal e tudo que necessita reparo.

Harmonização orofacial

A harmonização orofacial é uma área da odontologia responsável por buscar o equilíbrio entre a relação estética e funcional do rosto e sorriso do paciente.

 Através de alguns procedimentos, é possível corrigir assimetrias e melhorar algumas proporções faciais.

Remoção de dentes inclusos e impactados

A especialidade de cirurgia buco maxilo facial é que atua para a remoção com segurança de dentes inclusos, impactados além de tumores e tratamento de fraturas.